Internacional

Idosa acha agulha de 3cm no cérebro após realizar exames na Rússia

Após 80 anos, idosa descobriu que tinha uma agulha de 3 centímetros cravada no cérebro desde a infância, vítima de uma tentativa de infanticídio.
Redação Portal Norte
ouça este conteúdo
00:00 / 00:00
1x

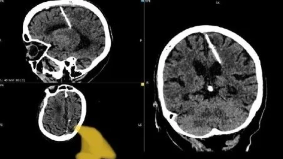
Uma idosa, de 80 anos, descobriu que convivia há décadas com uma agulha de 3 centímetros no cérebro.

O caso foi descoberto durante um exame de tomografia realizado por médicos na Rússia.

+ Envie esta notícia no seu WhatsApp

+ Envie esta notícia no seu Telegram

Os profissionais cogitam que a agulha, encontrada na cabeça da idosa, está com ela desde a infância.

A principal hipótese levantada é que a mulher foi vítima de uma tentativa de infanticídio na década de 30.

RELACIONADAS

+ Idosa vítima de maus-tratos e abandono é resgatada em Manacapuru-AM

+ Idosa não consegue sair de carro em correnteza e morre afogada no RS

+ VÍDEO: em Manaus, homem é preso suspeito de manter idosa em cárcere privado

Como agulha chegou lá?

Os médicos acreditam que a tentativa de infanticídio aconteceu durante época de escassez na Rússia.

A prática era comum no período, afim de evitar que crianças enfrentassem período de fome.

Com o desenvolvimento da ‘moleira’ da criança, os ossos da cabeça foram se formado, deixando a agulha presa.

Sem afetar a idosa, os médicos optaram por não retirar o objeto e, dessa forma, expô-la a riscos.