assuntos relacionados

Cérebro

SAÚDE

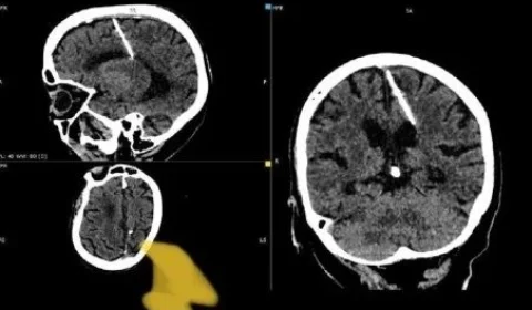
Tony Ramos: por que o ator precisou fazer cirurgia de emergência no cérebro?

Ator foi internado após apresentar sintomas de hematoma subdural e passou por cirurgia bem-sucedida para drenar sangramento intracraniano.

17/05/2024 18h03 Notícias
SAÚDE

Tony Ramos é internado no Rio e passa por cirurgia no cérebro

Ator de 75 anos foi submetido a cirurgia para drenar hematoma subdural no Hospital Samaritano, no Rio. Estado de saúde é estável.

16/05/2024 21h59 Entretenimento
DIVERSÃO

Apenas 1% das pessoas conseguem encontrar a letra diferente nesta imagem em 11 segundos

Desafio viral testa sua capacidade de concentração; apenas 1% dos participantes conseguem identificar a letra diferente em menos de 11 segundos.

06/03/2024 18h29 Notícias
Internacional

Idosa acha agulha de 3cm no cérebro após realizar exames na Rússia

Após 80 anos, idosa descobriu que tinha uma agulha de 3 centímetros cravada no cérebro desde a infância, vítima de uma tentativa de infanticídio.

06/10/2023 16h56 Internacional
Saúde

Docente de Harvard explica os melhores alimentos para auxiliar o cérebro

Especialista da Escola de Medicina de Harvard aponta os melhores alimentos para melhorar o humor, memória e eficiência do cérebro.

05/07/2023 10h12 Notícias
Saúde

Limpar nariz com o dedo eleva probabilidade de Alzheimer, revela pesquisa

Pesquisa australiana revela que a limpeza do nariz com os dedos pode levar bactérias até o cérebro, aumentando o risco de doenças como Alzheimer.

21/03/2023 10h30 Notícias
TV e Famosos

Bruce Willis é diagnosticado com Demência Frontotemporal; conheça sintomas

Esposa de Bruce Willis revela diagnóstico de demência frontotemporal após avaliações do ator

16/02/2023 19h29 Entretenimento
TV e Famosos

Oscar Schmidt, lenda do basquete, desiste do tratamento de câncer no cérebro

Lenda do basquete brasileiro desiste de tratamento contra câncer no cérebro por 'medo de morrer'.

15/10/2022 12h26 Entretenimento
Internacional

Nadador morre após ser infectado por ameba ‘comedora de cérebro’ em lago nos EUA

Homem morre após contrair ameba 'comedora de cérebro' durante banho em lago nos EUA.

22/07/2022 21h18 Internacional
Internacional

Emilia Clarke, estrela de Game of Thrones, diz que partes do cérebro não funcionam após aneurismas

Emilia Clarke, estrela de 'Game of Thrones', revela ter sofrido dois aneurismas cerebrais durante as gravações da série e fala sobre sua recuperação.

18/07/2022 15h36 Internacional